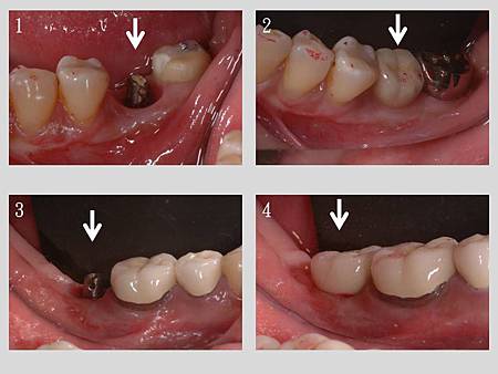
當臼齒往前傾倒時, 可併用矯正與植牙解決問題

患者因先前製作的牙橋又蛀進去而牙痛, 拆除牙橋後評估現況, 若重新以一樣設計再做一個橋的話使用年限會非常的短, 所以與患者溝通後採用人工植牙方式解決問題(增加地基數量減輕自然牙負擔, 力量跟清潔都會改善許多), 常常可以看到像這樣前傾的臼齒, 這是因為前方的牙齒拔掉後沒有第一時間製作假牙, 後方的牙齒會往前傾倒, 所以使用骨釘將前傾的牙齒拉回原位, 缺牙區再使用人工植牙恢復咬合

如圖, 銀色的牙齒是下顎第二大臼齒(使用骨釘往後拉), 前方空間恢復後植入人工植牙
治療前後比較, 注意觀察第二大臼齒與前方第二小臼齒的角度前後差異
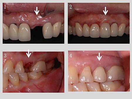
上顎後牙區齒槽骨高度若是因鼻竇過大而不足時須將齒槽骨高度頂高

患者左上缺牙區想要以植牙方式贗復, 我們將缺牙區以黃色框框標示出來且放大

-----------------------------------------------------------------------

放大圖
-----------------------------------------------------------------------

白色虛線是鼻竇的外圍境界線, 黃色虛線是齒槽骨高度的境界線, 由此x光片可以得知缺牙區骨頭高度不足, 無法置入植體螺絲
-------------------------------------------------

將骨粉填在齒槽骨周圍並將鼻竇頂高, 大約等待6個月的癒合期
-------------------------------------------------
骨粉與齒槽骨癒合後即可植入植體螺絲
-------------------------------------------------
鼻竇增高術也算是骨增生術的一種(可參見治療項目"人工植牙-人工植牙流程"), 也是將齒槽骨的容積增加以便後續的人工植體治療
摩擦力固持牙套解決了以往植牙牙套的許多美觀與清潔問題, 此作法為本診所的特點
摩擦力固持牙套發明人為杉山貴彥醫師, 相關網站及文獻如下:
杉山齒科醫院-植牙審美大師 杉山貴彥醫師診所網站http://sugiyama-dentaloffice.jp/
相關著作http://www.dentsply-friadent.com/downloads/2010_Sugiyama_iDENTity2_en.pdf

優點是牙套可以從植體最上層就開始做一自然形狀的萌發, 牙齦顏色也因此比較透亮, 缺點是製作時間及技術門檻較高
-------------------------------------

我們首先用模型來了解一下人工植牙的構造,(可先參見治療項目中 人工植牙-甚麼是人工植牙, 人工植牙-植牙概念與流程)
1.植體已經在人體內與齒槽骨骨整合
2.將支台(abutment)插入植體
3.使用螺絲將支台與植體兩者固定, 螺絲上扭力(如同汽車輪胎的固定螺絲也要上扭力一樣的道理)
4.支台與植體相接合
-------------------------------------

接下來在支台的上方製做牙套上去, 若支台與牙套並不是精密製作的話, 此兩者間的縫隙必須要使用黏膠黏著, 這是傳統的方式, 但是缺點就是日後若有拆除必要時牙套難以取下, 再者就是黏著後深層黏膠不易清潔而容易卡髒汙
1.將黏膠塗入牙套內層
2.將塗好黏膠的牙套與支台黏著
3.黏著好的樣子, 因為接著的介面在牙齦深處, 殘餘黏膠不易清潔
4.可以見到溢出的殘膠, 殘膠容易卡髒東西, 衍生出的細菌毒素會對植體骨整合有不良影響
-------------------------------------

---------------------------------------------
既然殘膠對植體長期健康有不良影響, 那如果我們可以將支台與牙套做精密的接合, 利用貴金屬的材質特性與斜面關係, 讓兩者的磨擦力大到可以接著在一起, 這樣不是就不需要黏膠了嗎? 摩擦力固持牙套就是這樣的想法而被發明出來的

1.檢視牙套的內層, 使用含黃金成分的內冠
2.將精密研磨過的牙套與支台接著在一起(此時不需黏膠)
3.白線為骨頭高度, 沒有髒汙的殘膠刺激, 骨頭的高度就比較不會因為細菌的關係而流失
4.因為支台與牙套的接著點非常的深入牙齦下, 所以牙齒可以做比較自然的萌發外型, 這種植牙的牙套甚至美觀度會勝過自然牙的牙套, 可以在下面的Case看到驗證
--------------------------------------

1.支台鎖入已在病人口內骨整合之植體
2.將牙套固定於支台上, 可以觀察牙齦的顏色很自然
3.支台鎖入已在病人口內骨整合之植體
4.將牙套固定於支台上, 可以觀察牙齦的顏色很自然(前方為自然牙金屬瓷牙露出黑邊)
---------------------------------------

1.治療前
2.將牙套固定於支台上, 可以觀察牙齦的顏色很自然, 其他牙齒為自然牙的牙套(牙齦處內層的暗黑透出而不美觀)
3.治療前
4.治療後
-------------------------------------
為什麼要選用磨擦力固持的牙套呢?因為可以兼顧美觀(牙套可以從深層作萌發外型)與健康(沒有殘膠的刺激而影響齒槽骨高度), 可以與您的醫師討論適不適合製作摩擦力固持牙套
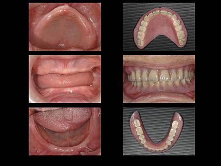
全口無牙的患者, 建議使用人工植牙支撐於假牙下方以增加咬合力
在全口無牙的患者中, 需使用全口活動假牙來恢復咬合功能, 而齒槽脊因時間逐漸萎縮, 活動假牙的固持性會越來越差, 此時可使用人工植牙增加活動假牙下方的支撐, 如此一來假牙較穩固, 患者也才比較可以咬碎食物

患者治療前照相, 隨然佩戴了全口假牙, 但是因為齒槽脊萎縮的關係, 活動假牙不穩定, 患者無法好好的咬碎食物
---------------------------------------------
患者術前x光片
---------------------------------------------
經評估後植入兩顆xive德國製人工植牙增加下顎支撐
---------------------------------------------
完成圖, 如此一來下顎假牙因下方有植牙支撐, 改善咬合功能 , 以現在的全口假牙標準, 一般建議下顎至少要有植牙2~4顆, 植牙越多的話患者咬合功能可以恢復得更多