人工植牙可增加咬合支持齒數,可以在不損傷鄰牙的前提下重建缺牙區
牙齒的構造簡單的來說有牙根(如同建築物的地基), 上部構造就是我們眼睛可見的部分稱之為牙冠
=============================================
當牙齒因為各種原因被拔除之後, 想要重建咬合就需要人工植牙==================================================
如同蓋房子先打地基一樣, 第一步驟就是將鈦金屬的人工牙根鎖到齒槽骨內, 很多患者很擔心這樣會很痛, 事實上因為治療過程都是在局部麻醉下進行, 所以是在無痛的狀態下植入的, 牙齒只要被拔除後, 齒槽骨的高度跟寬度都會萎縮, 所以當鈦金屬螺絲鎖進齒槽骨的時候, 常常發現齒槽骨的量是不夠的, 螺絲就容易有螺紋外露的情形, 此時需要補人造骨粉上去增加建築基度的寬幅, 這樣子的人工植牙使用壽命才會長久
=============================================
螺絲鎖進去後, 等待骨整合的時間(人體的骨細胞會長到鈦金屬上), 時間約6~8星期以上
==============================================
可以觀察到補完骨粉經過數月後, 同位置的植牙外側面都長了硬組織上去
=============================================
接下來在螺絲的上方製作牙套固定上去
=============================================
右圖為有做骨增生術(補骨粉)及牙齦增生術的人工植牙,齒槽脊豐滿, 牙縫模擬自然牙, 而左圖的植牙因為沒有做骨頭及牙齦增生(齒槽脊萎縮美觀功能不佳), 您想要的是哪一種結果? 植牙的目的是咬合使用跟清潔方式都可以模擬自然牙, 當然右方的結果會較佳, 以下為患者實例(治療前與治療後)
人工植牙的治療目標是要模擬自然牙, 絕大部分的患者需要進行骨質及角化牙齦的再生

-----------------------------------------------------------------------

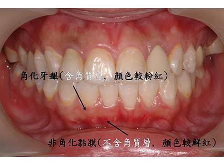
角化牙齦分布在牙齒的周圍(粉紅色), 可以抵抗食物的摩擦且可以有效的對抗刷牙的力量, 當牙齒拔除後角化牙齦會大量的萎縮
-----------------------------------------------------------------------

-----------------------------------------------------------------------

-----------------------------------------------------------------------

-----------------------------------------------------------------------

-----------------------------------------------------------------------

-----------------------------------------------------------------------

若您是工程師, 您覺得外露的地基需不需要使用土石將其鞏固填滿呢? 當然植牙外露的螺絲部也希望是由齒槽骨鞏固填滿的, 因此發展出所謂的"引導骨再生術", 白話一些就是把骨粉填充在植牙外側, 並加上膠原蛋白再生膜覆蓋骨粉以使骨粉能與齒槽骨癒合

-----------------------------------------------------------------------

-----------------------------------------------------------------------

-----------------------------------------------------------------------

-----------------------------------------------------------------------

-----------------------------------------------------------------------

-----------------------------------------------------------------------

-----------------------------------------------------------------------
拔牙後的齒槽因為骨頭與角化牙齦都會萎縮的關係,植牙治療時因此絕大部分的患者都需要進行骨增生術(補骨粉), 及角化牙齦增生術(補肉) ,最後的治療目標是力求植牙的外觀與功能都可以模擬自然牙
植牙與牙橋相比最大的優點是可以在不損傷前後牙的前提下, 增加咬合支撐的牙齒數目
缺牙的時候通常有兩個解決方案, 左圖是傳統的做法, 將前後方的牙齒磨小顆以後, 把他們當作橋敦, 然後做三個連在一起的牙套(此即為牙橋dental bridge), 然後黏著上去, 當然缺點是要去破壞前後方好的牙齒, 雖然中間缺牙的地方補好了, 但是同時前後牙齒也被損害了, 有一定的風險前後牙齒的神經會受到傷害而需要做根管治療, 右圖是人工植牙, 將一根鈦金屬合金的人工牙根鎖到齒槽骨內, 然後於其上製作牙套, 咬合與清潔跟原本的牙齒是一樣的, 且不須損害前後方的牙齒
-------------------------------------------------

牙橋若以簡單的邏輯去看, 力量上的分布就是兩顆牙負責三顆牙的力量, 所以有時候會看到因為力量過大支撐不夠牙根斷裂的情形, 右圖是人工植牙, 每顆牙齒負責自己的力量, 所以需要擔的責任就小多了, 牙根斷裂的機率也較低
-------------------------------------------------

左圖的牙橋因為是套在自然牙上面的, 所以要相當注意清潔, 否則蛀牙的機率會比自然牙高很多, 右圖是人工植牙, 因為是人造物, 所以不會蛀(這是相當大的優勢), 但是仍然要把它當成自然牙一樣使用牙線清潔牙縫, 以維持下方齒槽骨健康
-------------------------------------------------

橋底下需要特別清潔, 否則容易牙周病(橋底下需要動用牙間刷, 超級牙線, 牙橋穿越線...等的工具), 而人工植牙因為是獨立製作沒有跟前後牙連接在一起, 所以牙線清潔方便許多, 自然牙周清潔容易許多
綜合上述, 人工植牙的優點遠大過於牙橋,不管是 使用壽命, 清潔保養, 美觀, 功能, 力量分布....等, 人工植牙都優於牙橋
當齒槽骨寬度不足時, 須併用骨增寬術強化齒槽寬度
患者左上缺兩顆小臼齒(x光片為患者面對醫師), 想要用植牙的方式重建
------------------------------------------------

以現在的治療概念, 植牙一定要配合齒槽骨增生及牙齦增生(拔牙完齒槽骨會萎縮), 然後製作臨時假牙, 待患者適應後再製作正式假牙, 而此患者因為缺損過大, 需要進行第一階段的齒槽骨增生, 植牙時再進行第二階段的齒槽骨增生, 一切作為都是希望可以將齒槽骨的條件調整到最厚, 就像建築物的地基一般厚實, 如此植牙的使用壽命才會長久
-------------------------------------------------

首先進行第一階段的齒槽骨增生術, 拔牙後齒槽骨會萎縮多少? 請見右下小圖虛線處, 齒槽骨的寬度整個萎縮塌陷, 需要補足到足夠的寬度以利植牙的螺絲鎖入
-------------------------------------------------
將兩側骨板撐寬後填入可引導骨再生的骨粉, 再於其上覆蓋膠原蛋白類的再生膜
-------------------------------------------------

第二階段植牙,此時齒槽骨的寬度已經可以鎖入植牙,
------------------------------------------------
此時再幫患者補厚一次骨寬度, 齒槽骨厚度會更為厚實, 使用鈦網撐大空間再將骨頭補厚一次, 鋪上人造骨粉, 上部再放入膠原蛋白類的再生膜覆蓋
-------------------------------------------------

待骨粉成熟後使用引導角化黏膜再生術增寬角化層, 角化層對植牙舒適度相當重要(牙齒的牙齦耐刷牙也耐硬物的磨擦, 原因就是牙齒周邊有角化牙齦)
-------------------------------------------------

將螺絲口露出準備印模製作臨時假牙, 可以看到骨頭增大兩次後的效果(左上虛線即為骨頭範圍)
-------------------------------------------------

臨時假牙試戴調整外型與咬合, 待患者適應後可進行正式假牙製作
-------------------------------------------------

製作摩擦力固持(friction retention)正式假牙, 可有效避免深層黏膠造成牙齦發炎的問題
-------------------------------------------------

上兩張小圖為治療前, 下兩張為治療後, 注意比較齒槽增寬後的齒槽寬幅差異, 只要術前診斷得當(X光片.模型等)再加上適當的手術技術與材料, 骨質萎縮的患者仍然可以接受植牙的治療